確かな診断と治療を実現

- 何度も治療を繰り返している
- むし歯を何度も繰り返している
- 神経まで達したむし歯がある
- 抜歯が必要と言われた
- 歯ぐきが腫れている、ふくらみがる
- いつまでも自分の歯で過ごしたい
- 治療を何度も繰り返したくない
- 自分の歯の状態を知りたい
- 治療回数を少なくしたい
- より精密で正確な治療を受けたい

天然歯を守る
マイクロスコープ治療
マイクロスコープとは
- 拡大視野下の
精密治療 - トラブルの
原因を見つける
精密診断 - 治療内容を
患者様と共有
マイクロスコープは肉眼では見えないような細部まで大きく拡大して観察できるため、歯や歯周組織の微細な異常や問題を正確に評価することができます。
精密で無駄のない治療を実現し、患者様の負担を軽減しつつ、長期的な歯の健康を維持するために欠かせない設備です。

まえだ歯科の
マイクロスコープ治療が
選ばれる理由
診療案内

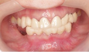
精密むし歯治療
- 歯がズキズキと痛む
- 銀歯を入れたくない
- 歯をあまり削らずに治療したい
精密むし歯治療とは、マイクロスコープを使用した精度の高い治療を行うむし歯治療です。
肉眼では見えない細部まで確認できるため、歯を残して治療したり、神経を取らずに治療したりすることが可能になります。

精密根管治療
- 他院で抜歯と言われた
- 歯を抜きたくない、残したい
精密根管治療では、マイクロスコープや歯科用CTレントゲンなどの特殊な設備や、専門的な技術を駆使して、根管内の細菌に汚染された部分や根管の内部を詳細に確認しながら治療を行います。
詳しく見る
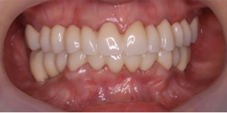
審美補綴治療
- 銀歯が目立つのが気になる
- 違和感のない白い歯にしたい
- 金属アレルギーが心配
肉眼の約20倍の拡大で治療を行うことにより、より精密な形成を行うことができ、精度の高い被せ物を製作する事が可能です。
また、治療後のトラブルも回避することができる可能性があり、より完成度の高い審美治療を実現することが期待できます。
歯をほとんど失ってしまった方へ
「むし歯や歯周病でほとんど歯を失ってしまった」
「歯がボロボロで歯医者に行くのが恥ずかしい…」など、
そんなお悩みがある方は、ぜひ当院へご相談ください。
当院では、根本の原因を診断し、様々な治療方法をご提案いたします。



